It just takes a few minutes to book a visit online.
Brighten Your Smile at Marsa - Dubai Marina - Dubai\
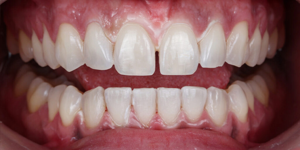
Are dull, yellow, or stained teeth affecting your confidence? At our advanced dental clinic in Marsa – Dubai Marina – Dubai, we offer professional teeth whitening treatments that safely brighten your smile by several shades — in just one visit.
Our in-clinic whitening procedures use advanced, dentist-approved technology to remove deep stains caused by coffee, tea, smoking, aging, and lifestyle habits. The result? A brighter, whiter, and more youthful-looking smile instantly.
Teeth whitening is a non-invasive cosmetic dental treatment designed to lighten the natural colour of your teeth. At our Marina clinic, we use powerful yet safe whitening gels activated by LED or laser technology to break down stubborn stains and discoloration from within the tooth structure.
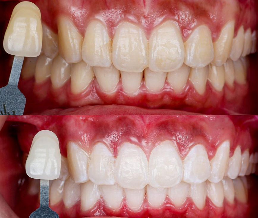
Unlike over-the-counter products, professional whitening is faster, safer, and delivers more noticeable, long-lasting results.
Teeth whitening is one of the simplest ways to completely transform your smile.
You may be an ideal candidate for teeth whitening if you have:
Our cosmetic dentist in Marsa – Dubai Marina – Dubai will evaluate your smile and recommend the best whitening approach for you.
A complete session usually takes 45–60 minutes.
We deliver premium cosmetic dental treatments with exceptional care and attention to detail.
Excellent on Google 5.0 out of 5 based on 276 reviews
Trustindex verifies that the original source of the review is Google. Great hospitality, professional staff and well equipped dental clinic, Dr.Zeina was super professional and provided me with clear information needed for my casePosted on ShimosTrustindex verifies that the original source of the review is Google. ich möchte mich nochmals ganz herzlich bei dr Z.Taie bedanken. Ihre Arbeit war unglaublich professionell und so präzise. ich habe wirklich absolut nichts gespürt. Ich kann kaum glauben, wie einfach und angenehm die Behandlung war. Bei Ihnen fühlt man sich einfach in den besten Händen. Immer wieder gerne danke für Ihre saubere, perfekte Arbeit.“Posted on Noor alTrustindex verifies that the original source of the review is Google. Dr. Z Taie was very welcoming and easy to talk to. She explained everything clearly and made the whole experience comfortable and informative. The service at Aries Clinic was excellent, and I really appreciated how she took the time to walk me through the Invisalign process. I’m looking forward to starting the treatment she recommended!Posted on Adnaan BehardienTrustindex verifies that the original source of the review is Google. I can't say enough about Dr. Zeinb My tooth was in a difficult condition, but she treated me with such kindness. The work she did on my tooth was so precise that I didn’t feel a thing Can’t thank her enough walhe, it not my first experience with dr zeinb absolutely She’s the bestPosted on rasha elgerbiTrustindex verifies that the original source of the review is Google. Great dentist, super clean as expected and very clear with everything. Great with kids! Thanks Dr Z!Posted on Zahid ShafiTrustindex verifies that the original source of the review is Google. 10/10 service, I highly recommend Dr. Taie for any dental service, I had a great experience and my teeth feel great!Posted on Yara ZwayneTrustindex verifies that the original source of the review is Google. Amazing experience! Answered all my questions and eased my worries, as well as taught me new things by explaining well! Definitely will be coming back!Posted on Sara ZwayneTrustindex verifies that the original source of the review is Google. have always been impressed by their professionalism and quality of servicePosted on Rajan RoashanTrustindex verifies that the original source of the review is Google. My time at Aries was fantastic, Dr Z is incredibly skilled and a wizardess at what she does, not to mention hospitable as the staff provided a comfortable experience throughout the entire processPosted on omarTrustindex verifies that the original source of the review is Google. Top Beratung und Service. Meine Krone hatte sich gelöst, mir wurde schnell und unkompliziert geholfen, in einer Praxis die moderner Ausgestattet ist als die deutschen die ich kenne! Empfehlung ohne Einschränkung !Posted on Markus Jaworek
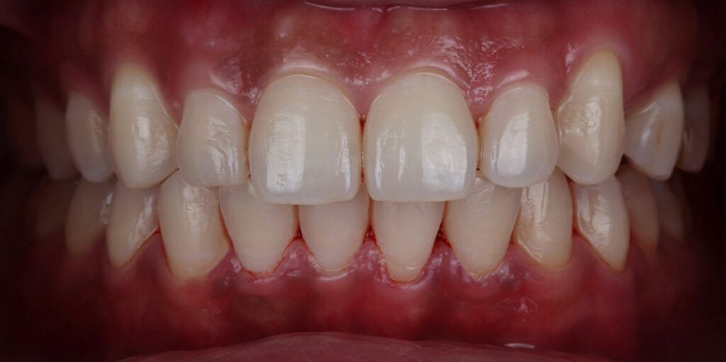
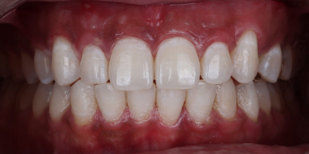
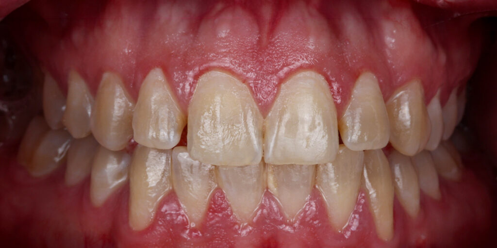
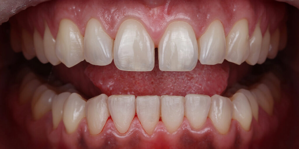
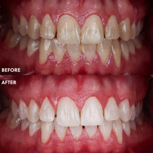
Every smile tells a story and these are just a few of the transformations Dr. Taie has guided with precision, care, and natural aesthetics. No overdone veneers. No copy-paste smiles. Just real people who wanted to feel like themselves again only more confident.








Ready to see what Teeth Whitening can do for your smile? Click below to book your consultation online. It only takes a minute to get started!
With good oral hygiene and care, results can last 6 months to 2 years depending on lifestyle habits.
Yes, professional whitening done by a dentist is completely safe for your enamel and gums.
No, it is usually pain-free. Some patients may experience mild temporary sensitivity.
Most patients see an improvement of 6–10 shades in one session.
It removes most external and some internal stains. However, very deep or intrinsic stains may require additional treatments such as veneers.
No. Whitening only works on natural tooth enamel. Your dentist will guide you on cosmetic options for treated teeth.
Usually once a year or as recommended by your dentist.
Avoid coffee, tea, red wine, smoking, and coloured foods for at least 48 hours.